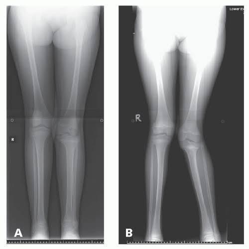
What is Genu Valgum (X-legs)?
Genu valgum, commonly known as knock knees or X-legs, is a condition where the knees angle inward and touch each other while the ankles remain apart when standing with the feet together. This inward angulation results in a gap between the feet, giving the appearance of inward-bending legs. Genu valgum definition highlights it as a condition often seen in young children as part of their normal growth and development, but it can also persist into adulthood if not properly addressed. The genu valgum meaning encompasses both its occurrence in childhood and potential persistence into adulthood. Can genu valgum be corrected? Yes, it can.

How to Fix Genu Valgum
The treatment for genu valgum depends on the underlying cause and the severity of the condition. In many cases, especially in children, no treatment is necessary as the condition often corrects itself with growth. However, for more severe cases or persistent genu valgum in adults, various treatment options are available:
Physiotherapy
Physiotherapy is commonly recommended to strengthen the muscles around the knee, improve alignment, and enhance overall leg function. Exercises focusing on the quadriceps, hamstrings, and hip abductors can be particularly beneficial.
Orthotic Devices
Orthotic devices such as braces or shoe inserts can provide additional support and help in correcting the alignment of the legs. These devices are often used in conjunction with physiotherapy to enhance treatment outcomes. For instance, a brace for genu valgum can be particularly useful in young patients with physiologic genu valgum.
Weight Management
In cases where obesity contributes to the severity of genu valgum, weight management through a balanced diet and regular exercise can reduce stress on the knees and improve leg alignment.
Surgical Intervention
For severe or persistent cases, genu valgum correction surgery may be necessary. This procedure aims to realign the bones and correct the underlying deformity to restore normal leg function and appearance. Surgery is especially relevant for correcting bilateral genu valgum deformity in both legs simultaneously.
How is Genu Valgum Surgery Performed?
Genu valgum surgery involves a procedure known as osteotomy, where the surgeon cuts and realigns the bones to achieve proper alignment. Internal fixation devices such as plates, screws, or rods are used to hold the bones in place during the healing process. The surgery is performed under general anesthesia and typically requires a hospital stay of a few days.
Genu Valgum Surgery in Turkey
Genu valgum surgery in Turkey is performed by experienced orthopedic surgeons in state-of-the-art medical facilities. The country has become a popular destination for medical tourism, offering high-quality care at competitive prices. Patients from around the world seek treatment in Turkey due to its advanced medical technology and skilled healthcare professionals.
About genu valgum surgery cost, patients from around the world come to Turkey to benefit from high-quality and cost-effective treatment options.
What Are the Stages of Genu Valgum Surgery?
The stages of genu valgum correction surgery include:
Pre-operative Assessment: Comprehensive evaluation including medical history, physical examination, and imaging studies such as X-rays or MRI scans to plan the surgery.
Surgical Procedure: Performing the osteotomy and applying internal fixation devices to hold the bones in the correct alignment.
Post-operative Care: Immediate care after surgery, including pain management and monitoring for any complications.
Rehabilitation: Physical therapy to regain strength, mobility, and function in the legs.
Follow-up Appointments: Regular check-ups to ensure proper healing and alignment of the bones.
How Does the Process Continue After Genu Valgum Operation?
After genu valgum surgery, the recovery process includes:
Initial Recovery
Patients typically stay in the hospital for a few days after surgery for monitoring and pain management. The initial recovery period involves limited movement to allow the bones to begin healing.
Rehabilitation
Physiotherapy is a crucial part of the recovery process. A tailored rehabilitation program will help patients regain strength, flexibility, and function in the legs. Exercises may include range-of-motion activities, muscle strengthening, and gait training.
Ongoing Care
Regular follow-up appointments with the orthopedic surgeon are necessary to monitor the healing process and ensure the bones are properly aligned. Imaging studies may be repeated to assess progress.
Long-term Outcomes
Continuous assessment and care are essential to ensure lasting correction genu valgum and functionality. Most patients can expect to return to normal activities within a few months, with full recovery taking up to a year depending on the severity of the condition and the individual’s overall health.
What Are the Procedures to Have Genu Valgum Surgery?
The procedures to undergo genu valgum surgery include:
Consultation: Initial consultation with an orthopedic specialist to discuss symptoms, medical history, and treatment options.
Evaluation: Comprehensive evaluation including physical examination and imaging studies to assess the severity of genu valgum.
Surgical Planning: Detailed planning of the surgical procedure based on the evaluation results.
Pre-operative Preparation: Preparing for surgery, including pre-operative tests, arranging for hospital admission, and discussing anesthesia options.
Surgery: The surgical procedure itself, performed under general anesthesia.
Post-operative Care: Immediate care following surgery, including pain management and monitoring for complications.
Rehabilitation: Ongoing physiotherapy to aid recovery and improve leg function.
Who is Genu Valgum Surgery Suitable For?
Genu valgum surgery is suitable for individuals with severe or persistent genu valgum deformity that causes functional limitations, pain, or cosmetic concerns. Both children and adults may be candidates for surgery, depending on the severity of the condition and the presence of any underlying health issues. Surgery is also considered for patients who have not responded to conservative treatments such as physiotherapy or bracing.
Special Considerations
Congenital genu valgum and physiologic genu valgum are specific forms that may require tailored treatment approaches. Congenital genu valgum is present at birth and may need early intervention, while physiologic genu valgum typically resolves on its own as children grow.
Bilateral genu valgum refers to the condition affecting both legs and may require a more comprehensive treatment plan. Addressing bilateral genu valgum deformity often involves synchronized surgical procedures on both legs for optimal alignment and function.
Genu valgum in adulthood presents unique challenges, as the bones have fully matured, making non-surgical interventions less effective. In such cases, adult genu valgum treatment often involves surgery to achieve the desired correction. Knee genu valgum specifically refers to the condition as it affects the knee joint, highlighting the importance of targeted treatment for this area.
FAQ
Is There Pain After Genu Valgum Surgery?
Patients may experience some pain after genu valgum surgery, but it is usually manageable with medications. Pain typically subsides as the healing process progresses.
What is the Recovery Time for Genu Valgum Surgery?
The recovery time for genu valgum surgery varies, but most patients can resume normal activities within a few months. Full recovery, including return to high-impact activities, may take up to a year.
Is it Safe to Have Genu Valgum Surgery?
Yes, genu valgum surgery is generally safe when performed by experienced surgeons in accredited medical facilities. As with any surgery, there are risks, but these are minimized with proper care and planning.
Is There an Age Limit for Genu Valgum Treatment?
There is no strict age limit for genu valgum treatment. The suitability for surgery depends on the individual’s overall health, bone quality, and specific circumstances of the deformity.
What is the Advantage of Having Genu Valgum Surgery Performed in Turkey?
Turkey offers advanced medical technology, skilled orthopedic surgeons, and high-quality care at competitive prices. The country’s reputation for medical tourism ensures that patients receive excellent treatment and support throughout their surgical journey.

Op. Dr. Halil Buldu
Orthopedic Surgeon and specialist in Limb Lengthening & Deformity Correction with over 14 years of experiences
Author Page